【白金こどものはいしゃさん】こどもの矯正
ホーム > こどもの矯正(子どもの未来のために・・・)

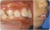
小児矯正は、歯をきれいに並べるだけではありません。
咬み合わせ、舌の位置、呼吸を正しい方向へ育成して行きます。
つまり健康美を手に入れているのです。

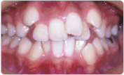
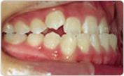
歯が重なり合っている

下の歯が前に出ている

犬歯がドラキュラ状

上の歯が前に出ている

前歯が噛み合わない

下の歯の方が上にある。

大人の歯を正しい位置に生えさせ、将来、虫歯や歯周病になりにくくする
アゴの位置を正して、バランスの良いかみ合わせ。姿勢を良くする 
発音を良くし、正しい姿勢・顔立ち
免疫力を高める。りりしい顔だち

上プレート図解 下プレートの図解
無料のご予約はこちら